
您的位置: 聚美网 > 百科 > 口腔美容 > 牙齿抛光是磨掉一层牙釉质吗?牙齿抛光为什么经常和洗牙一起做呢?
发布时间:2023-06-21 15:50:18
阅读:
随着我们对口腔健康问题的逐渐重视,洗牙也逐渐是人们会去口腔医院做的一个项目,由于其价格低、疗效好,因此洗牙的人非常多,口腔医院一度在周末节假日洗牙项目都是约满的状态,几乎当天不预约直接到店能洗上牙的概率是很低的。这篇文章也是希望能给大家在洗牙这方面做一个简单的科普,让没洗过牙的小伙伴对洗牙有一个简单的了解,不至于一无所知。
洗一次牙大概多少钱?
为什么一开始就讲价格呢?因为洗牙的价格普遍都比较低,价格便宜洗的人自然就多了,人一多往往就会形成一种跟风现象,没有了解过就盲目洗牙的人不在少数,如果碰到一些不正规的口腔医院,洗一次牙收你600都不是没可能。洗牙这个项目放在任何一个城市,单次价格都不会超过200,(这里指的是纯超声波洗牙,不含其他项目)。
一般的口腔医院都会有节假日的洗牙价格和工作日的洗牙价格,工作日的会更便宜一些,有的医院也不分,不过你只需要记着洗牙价格不是贵到让你自己都怀疑是不是被坑的情况的,如果真有这么贵的,那你要记得问问除了洗牙还带了其他别的什么项目没有。
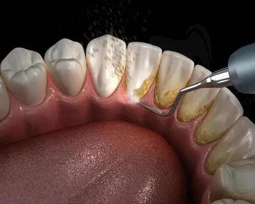
洗牙是怎么洗的?为什么我洗完牙以后牙齿感觉涩涩的?
洗牙虽说不是什么有难度的技术活,但是非常考验操作医生的耐心。有的患者由于常年抽烟或者喝茶喝咖啡,牙齿色度沉积严 重,牙结石比较多,在洗牙过程中可能就会伴随着轻微的出血,这是正常现象,一般医生在洗牙之初就会告诉你可能出现的情况,有出血也不一定都是医生操作的问题。
洗牙的原理也非常简单,我们常见的就是超声波洗牙,工作原理就是利用超声波的高频振动,把牙结石震碎,使牙菌斑脱落,从而达到洗牙的目的。在洗牙过程中吐出来的黑色小颗粒就是牙结石,不能咽哦~医生其实也会提醒你的。
洗牙的过程就是将你藏在牙齿缝隙的的污垢清理出来的过程,洗着洗着你是不是感觉牙缝变大了,牙齿好像没洗之前光滑了?还变得有点涩涩的。其实这都是正常现象,因为你常年已经习惯牙结石的存在,乍一没有感觉空空的这很正常,牙齿表面失去了牙结石确实会有不太平整的地方,刚洗完牙都会这样,过几天牙齿会进行自我调节,慢慢就好了。
牙齿抛光是磨掉一层牙釉质吗?为什么经常洗牙一起做?
讲到这里就引出了抛光这个项目,我们在看医院的洗牙套餐的时候稍微贵一点的那一个套餐就是带了抛光。抛光一般是在洗完牙之后进行,上文不是讲到牙齿洗完以后感觉涩涩的,抛光就解决了这个问题,将牙齿表面打磨光滑的过程就是抛光,抛光不是打磨牙釉质,而是将洗牙过层中没洗掉的顽固的污垢或者色素进行手动清除,所以抛光也是另一种清洁方式。洗牙的标准流程就是洗牙+抛光的这样一个先后顺序,两个一般都是一起做的,没有为什么。
洗牙一般多久洗一次?洗牙的次数一般建议是一年一次,至多一年不超过两次,洗多了对牙齿也不好,不能看着牙齿不干净了就去洗牙,做好日常的牙齿清洁工作,养成良好的口腔卫生习惯,勤刷牙,勤漱口。这就是关于洗牙问题的一些解答啦,希望能对你有所帮助,如果你对洗牙还与什么其他疑问的话,也欢迎评论区探讨留言。
优惠
上海西郊众植口腔国产金属托槽矫正原价16800元现8800元起,性价比高矫正快别错过!
2025-09-29 14:54:07
宁波牙博士口腔国产直丝弓金属托槽原价8299元,折扣价格5680元起性价比超高!
2025-09-28 16:32:35
深圳友睦口腔E-max铸瓷牙齿贴面美白原价6120元,折扣价格只要2980元起焕亮美牙!
2025-09-27 12:26:03
苏州美奥口腔韩国迪耀DIO种植牙原价6800元起,现仅1980元起轻松拥有逼真牙齿!
2025-09-26 11:47:58
深圳友睦口腔医院全口活动假牙修复原价24000元,优享价8000元起享国际模式服务!
2025-09-25 16:02:12
南通美奥口腔传统金属固定矫正原价8000元起,限时价格5888元起享个性化方案
2025-09-24 13:46:58
美容