 我们会尽快处理。
                免责声明
                
                我们会尽快处理。
                免责声明
            您的位置: 聚美网 > 攻略 > 郑永生双眼皮修复价格表曝光,技术口碑俱佳,附上郑永生眼修复案例!
发布时间:2024-02-23 10:17:22
阅读:
郑永生做双眼皮修复多少钱?郑永生双眼皮修复价格7680元起-29880元起。郑永生医生是国内有名的眼修复医生,他从事整形美容临床工作多年,做双眼皮修复和歪鼻矫正技术都非常牛,拥有大量的临床手术实例,是一位技术与口碑俱佳的实力派医生,本文小编除了给大家整理郑永生双眼皮修复价格表之外,还会从郑永生双眼皮修复技术特色、以及郑永生双眼皮修复实例让来详细介绍,方便大家深入了解~
郑永生双眼皮修复价格表
双眼皮修复(双眼皮消失、不明显、不对称):17880元起
双眼皮修复(多重褶,过宽过窄,疤痕,弧度不流畅):23880元起
双眼皮修复(疤痕,肉条,凹陷,过宽过窄,外翻):29880元起
提肌修复 (单侧):7680元起
眼袋修复:17880元起
眼角修复:15480元起
下睑下至修复:17880元起
注:以上价格仅供参考

郑永生修复双眼皮怎么样啊?
郑永生修复双眼皮技术特别好,郑永生医生毕业于白求恩医科大学,曾在我国整形美容行业标杆医院北京八大处工作十余年,后又在北京同仁医院整形外科工作二十多年,有着丰富的临床手术经验,擅长各类眼部美容整形及修复手术,复杂鼻整形及修复、歪鼻矫正,以及唇腭裂、小耳畸形等各类整形疑难杂症的治疗,尤其是双眼皮修复、歪鼻矫正做得非常多,经验也很丰富。

郑永生双眼皮修复技术优势:
1、郑永生医生做双眼皮修复是将眼睛被破坏的生理结构与功能进行修复,在眼睛功能性修复的基础上,结合眼部美学标准,更好地修复双眼皮外观,重塑流畅自然的双眼皮形态。
2、郑永生医生做双眼皮修复的风格比较稳定,是以求美者不同的眼部基础结合当下审美流行进行设计,整体风格偏自然,恢复后眼睛灵动有神,整体协调。
3、郑永生医生做双眼皮修复操作手法精细,不会损伤眼部神经和血管,出血量少,术后肿胀小,求美者手术体验更舒适一些。

郑永生双眼皮修复实例:
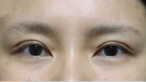
郑永生修复双眼皮疤痕及不对称
这位小姐姐做过三次双眼皮,很喜欢自己开扇的双眼皮状态,但是觉得自己右眼双眼皮太宽,两边不对称,而且闭眼有疤痕,所以来找郑永生医生修复,郑永生医生设计的手术方案是:切开双眼皮修复+单侧内眼角调整,通过双眼皮原有切口降低右边双眼皮宽度,修复双眼皮不对称的问题,通过对内眼角的微调,改善左侧眼头与重睑线条的问题,尽可能调整到双眼对称的状态,再进行疤痕修复,手术成功完成!

顾客反馈评价:
郑永生院长做眼修复技术真的觉得,我没想到做到这么精细,来面诊的时候我就提出了自己的要求,看了郑永生医生给出的方案我就挺满意的,刚做完手术就能看到两边双眼皮明显对称了,恢复也挺快,后面就是越长越自然,现在已经五个月了,我的双眼皮已经是完全自然,非常满意!

以上就是郑永生医生做双眼皮修复价格、手术实例等内容的介绍了,综上所述郑永生医生做双眼皮修复价格7680元起-29880元起,而且他做眼修复技术好,临床经验非常丰富,有大量的手术实例,而且口碑也挺好,需要做双眼皮修复面诊郑永生医生或者想了解更多详细内容的,都可以联系小编在线咨询预约哦!
 
                                    优惠
 
                                                                长沙祺美胸整形肖征刚曼托假体隆胸原价8万,现2.5万起美胸性价比之选
2025-10-24 13:50:26
 
                                                                广州荔医医美嗨体2.5+AOPT超光子补水嫩肤原价1280元,现998元起美白淡斑超有用
2025-10-23 15:34:56
 
                                                                杭州浮想国医疗美容鱼尾纹国产注射除皱原价3000元.现4999元起成效好护理贴心
2025-10-19 14:41:01
 
                                                                乌鲁木齐华美整形处女膜修复原价6500元现880元起,连锁医院经验丰富速抢!
2025-10-16 10:47:21
 
                                                                乌鲁木齐华美兴瑞Taixl黄金炮原价12000元起,现2999元起深层抗衰焕新颜
2025-10-15 10:48:59
 
                                                                杭州浮想国医美比基尼V区私密脱毛原价1000元现299元起长久脱毛别错过
2025-10-14 13:24:28
美容资讯