我们会尽快处理。
免责声明
丹阳喜禾口腔门诊部是一家面向社会开放的口腔诊疗机构,主要服务范围涵盖牙齿种植、口腔矫正、牙齿美白、美学修复、儿童齿科、牙体牙髓治疗以及口腔保健等多个方面。作为镇江丹阳地区较为活跃的口腔医疗单位之一,该门诊部致力于为公众提供优质、便捷的口腔健康服务。
从就诊体验来看,丹阳喜禾口腔门诊部的环境整洁、有序,前台接待人员态度亲切,能详细讲解每一个治疗项目的流程和费用。牙椅数量充足,基本可以保护日常接诊需求,并且每台设备都进行定期消毒,确保就诊过程的安心卫生。
在服务过程中,这家门诊部注重与顾客的沟通。无论是术前的评估、治疗中的配合,还是术后的注意事项交待,医护人员都能做到细致讲解,让人安心。此外,患者可以根据实际时间安排进行预约治疗,减少现场排队等候的时间。
值得注意的一点是,该门诊部还会根据顾客需求,提供个性化的治疗建议和视觉美观的预期规划,这使得特别多前来进行牙齿矫正与美白的顾客表示满意。儿童项目方面也设置了专属区域,环境温馨,适合小朋友接受治疗。整体来看,丹阳喜禾口腔门诊部在服务细节、设施维护和医患沟通等方面表现良好。

丹阳喜禾口腔门诊部是一家在丹阳市卫生健康委员会备案并取得正规登记号的牙科机构,属营利性医疗单位。根据当地医疗机构注册信息显示,该门诊部设置符合《医疗机构设置规划》,已获批开展口腔科相关业务。
从登记信息来看,该门诊部已有合法的营业执照和医疗机构执业许可证,内部配备经过认证的执业医师。在营业场所内显著位置可以看到相关资质公示,所有开展的诊疗项目都在经营许可范围之内。
因此,就资质合法性和设立标准方面,丹阳喜禾口腔门诊部是正规合法的医疗单位,患者可以安心就诊。

丹阳喜禾口腔门诊部实行常规营业时间模式,每周一至周日上午8点至晚6点开放门诊服务,中午不休息,方便工作繁忙的居民利用空档前来治疗。
节假日是否开放视具体安排而定,建议有就诊安排的居民提前通过电话或平台预约,避免临时闭馆带来的不便。
地理位置:门诊部位于江苏省镇江市丹阳市城区内,靠近主要商圈与住宅小区,交通便利,便于辖区群众就近就医。
成立时间:根据当地医疗机构注册公开信息,丹阳喜禾口腔门诊部自成立以来,持续开展规范口腔服务,深受居民欢迎。
预约电话:该门诊部提供电话预约与现场预约服务,具体联系方式张贴于门诊入口处。
科室介绍:提供涵盖口腔种植、正畸、美白、儿童牙科、牙体牙髓治疗等多个方向。
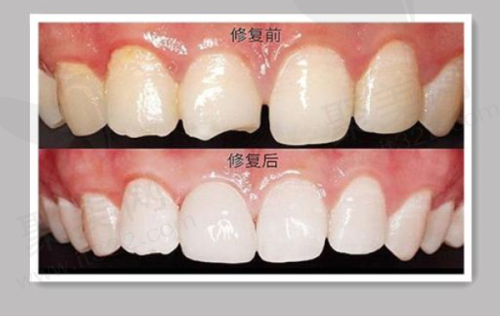
特色项目:牙齿矫正(隐形矫正)、数字化种植牙、冷光美白、贴面修复、儿童窝沟封闭、根管治疗等。

医生团队由多名具有多年临床操作经验的执业医师组成。服务覆盖口腔种植、正畸、牙体修复、儿童牙科等领域。
矫正服务负责人为熟悉传统金属矫正与隐形矫治技术的医师,常驻门诊接诊,能根据不同面型条件及咬合情况制定专属矫治计划;儿童齿科医生性格温和,擅与孩子沟通,对牙齿发育阶段的处理有丰富经验。
种植牙项目配有微创技术人员,开展即拔即种、导板种植等多种方案,较大程度提高种植安心与舒适感。

门诊收费实行透明公示制度。所有常规治疗价格公开标注,具体价格由项目类型、所使用材料不同而有所区别。
以下为部分参考价格范围(仅供参考,具体以门诊询问为准):
- 洗牙(普通洁治)价格:约100-200元/次
- 补牙(树脂材料)价格:约200-400元/颗
- 根管治疗:前牙约600元起,后牙约1000元起
- 牙齿矫正:金属托槽矫正约1万元起;隐形矫正2万元起
- 种植牙:韩系约6000元起,进口品牌约9000元起
- 儿童窝沟封闭:约100元/牙

为了方便居民就诊,丹阳喜禾口腔门诊部提供多种预约方式:
1. 现场预约:可在门诊前台直接挂号,由接待人员协助安排时间。
2. 电话预约:患者可以致电提供的服务台号码,由客服根据医生排班安排时间。
3. 平台预约:通过搜索“丹阳喜禾口腔门诊部”获取预约渠道,进行在线挂号登记。
建议繁忙时间段(如周末、节假日前)提前2-3日预约,以确保及时就诊。

丹阳喜禾口腔门诊部周边交通便利,乘坐公交、骑行、自驾均可方便到达。
公交路线参考:可乘坐市区线路,例如1路、3路、5路公交车,在“灯城广场”站台下车后步行至门诊部。
自驾导航:可直接在手机地图中输入“丹阳喜禾口腔门诊部”进行导航,有专属停车位,方便泊车。
骑行方式:门诊门口及周边设有共享单车停放区。
总体来看,丹阳喜禾口腔门诊部是一家正规、服务细致、项目齐全的口腔门诊单位,在多种口腔治疗和美观修复项目上均能提供个性化解决方案,适合不同年龄段、不同需求的居民前来询问与治疗。
优惠
惊爆!伊犁福宏林口腔全口吸附性义齿直降,原价3.2万现1.68万起速抢!
2025-12-15 11:01:01
珠海六和口腔周年福利!国产非自锁金属托槽矫正原价9860元起,现惊爆价6800元起
2025-12-12 14:13:41
珠海六和口腔瑞典Astra种植牙大放价!原价9800元起直降至7800元起速抢!
2025-12-10 13:56:50
哈尔滨中航口腔儿童根管治疗原价1080元起,暖冬折扣价600元起医保定点复诊方便!
2025-12-09 13:09:16
黑龙江中航医院口腔科金属自锁托槽矫正原价10000元起,现惊爆折扣价7888元起速抢!
2025-12-09 09:24:07