我们会尽快处理。
免责声明
您的位置: 聚美网 > 百科 > 牙齿修复 > 乳牙预成冠与全瓷冠的区别及牙齿冠套修复解析,适合儿童及成人的选择指南
发布时间:2025-09-19 13:50:45
阅读:
冠套修复是什么?在口腔修复领域,冠套修复是一种常见而有效的技术,主要用于保护和修复牙齿的功能和外观。通过对毛病牙齿进行修复,冠套不仅能够修复牙齿的形态和颜色,还能提供极好的咀嚼功能,防止进一步的损害。简单来说,冠套修复是将呈现损坏或缺失的牙齿用人工冠套覆盖,从而达到保护和美观的双重作用。

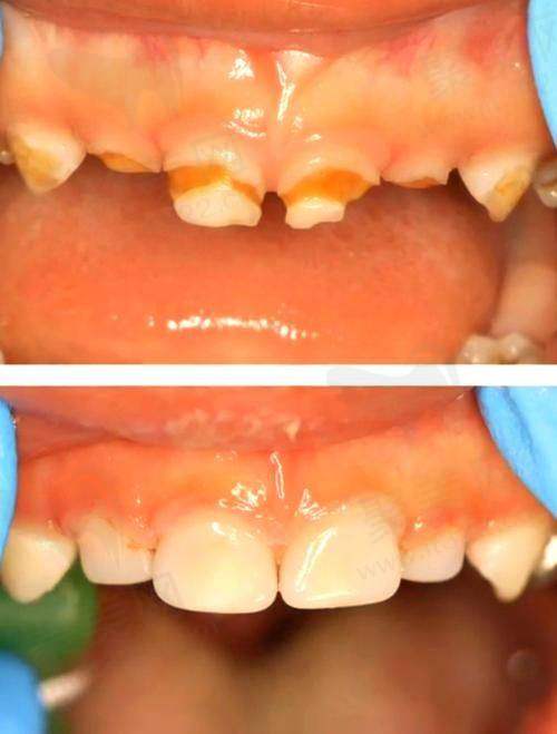
乳牙的预成冠,广泛应用于儿童牙科,如今已经成为了牙科医生推荐的修复选择之一,尤其在预防牙齿龋齿和保护乳牙正常健康替换方面。不同于全瓷冠,乳牙预成冠由不锈钢或透明材料制成,适合不同阶段的儿童,维护他们的口腔健康。
这篇文章将深入分析冠套修复的概念,特别是针对儿童和成人的不同需求,同时将围绕乳牙预成冠与全瓷冠的区别进行详细探讨,力求让读者在对比中找到适合自己的修复方案。
乳牙预成冠是一种专为儿童设计的牙齿修复方式,它可以有效地覆盖和保护因龋齿或其他原因而受损的乳牙。通常由不锈钢或透明塑料制成,提供一种经济且实用的解决方案,帮助儿童维护口腔健康。此类冠套修复的一个显著特点是,预成冠能够在孩子们的乳牙生长过程中提供保护,同时确保恒牙的正常发育。
与预约充填等传统补牙方式相比,乳牙预成冠的优势在于它们的固定性和持久性。因为预成冠是专门为患者的牙齿结构预先制造的,可以与牙齿实现良好的紧密结合,减少修复后牙齿再次龋坏的概率。
这项技术特别适合于那些龋齿重度的儿童,通过专精的牙科诊疗,医生会根据儿童具体的口腔状况来决定是否使用预成冠进行修复,确保成效的至佳化。

全瓷冠是一种生物相容性强且美观的牙齿修复材料,专门设计用于成年人的口腔修复。与乳牙预成冠相比,全瓷冠具有更好的美观性,通常用于修复那些缺损重度的牙齿。全瓷冠采用高强度陶瓷制成,外观上不仅与自然牙齿相似,还能满足成人对外观的高要求。
成年人口腔中的多种复杂因素使得全瓷冠成为一个热门的修复选择。由于全瓷冠不含金属成分,它的制作过程包括了现代高端的美学设计,因此它在视觉上更为自然美观,修复后几乎无法察觉。
此外,全瓷冠同样能够承担重力和压力,这使它们在受力方面相对更为坚固。然而,因其材料特性的不同,成年人的全瓷冠可能在价格上较高,通常需要数千元。这种情况下,患者可以和医生进行充分沟通,选择至佳的治疗方案。

虽然补牙和冠套修复都是针对牙齿损坏的修复方式,但两者在应用上存在显著的差异。补牙通常用于较小的龋齿,以填补龋洞并修复牙齿的正常形状与功能,而对于更重度的牙齿损坏,尤其是牙齿外观及结构重度受损的情况下,冠套修复则是更佳选择。
根据牙科研究,使用冠套修复的患者在修复牙齿功能和预防未来龋齿方面的成功几率更高。这是因为冠套能够完全覆盖受影响的牙齿,与其自然牙的咬合关系密切相关,有效分散了咀嚼时的压力。
此外,冠套修复的耐用性也优于传统的填充材料。在一些研究中,约80%的冠套能够在使用五年后依然保持其完整性和功能。因此,医生通常建议那些面临重度牙齿损伤风险的患者选择冠套修复。

选择合适的牙齿修复方式是患者在接受牙科治疗中需要重点关注的问题。对于儿童来说,乳牙预成冠通常是避免龋齿扩展和维持牙齿生长的重要方法;对于成年人,选择全瓷冠则需要根据牙齿缺损的具体情况进行综合考虑。
在选择乳牙预成冠时,医生会根据儿童的口腔结构、龋齿位置及重度程度进行评估。大多数情况下,3-12岁的儿童适合使用预成冠,特别是在面对高龋风险时。
对于成人来说,选择全瓷冠的决策则更复杂,患者应考虑牙齿的现有状况、所需修复的面积及对美观的要求。在此过程中,患者的治疗经验和医生的建议是决定治疗方案的关键。

考虑一下实例:一位7岁的儿童因未及时处理的龋齿,导致乳磨牙重度受损。医生为该儿童选择了乳牙预成冠修复,成功地覆盖了受损部位,既防止了龋齿扩展,又确保了后续恒牙的正常生长。
在成人方面,某位35岁的成年患者因用力过猛而导致一颗后牙崩裂,经过评估后决定进行全瓷冠修复。治疗完成后,患者十分满意,且在进行日常咀嚼时没有出现任何不适。两例皆说明了根据牙齿的具体情况选择修复方法的重要性。
具备多年的行业数据显示,适宜的冠套修复不仅能够提高治疗的成功几率,还能减轻患者在治疗过程中所承受的痛苦和经济负担。

综上所述,冠套修复是一种有效的牙齿修复方法,无论是乳牙的预成冠还是成年人的全瓷冠,均能为患者提供所需的保护与美观。在选择适合的修复方法时,患者需要与医生充分沟通,确保选择更合适的治疗方案。
现在,在面对牙齿问题时,了解何为冠套修复以及是否选择适合的修复方式可以帮助患者更好地决策,维护口腔健康。希望这篇文章能为读者在接受牙齿修复治疗上提供实用的参考,促使大家尤其在口腔健康方面做出明智的选择。
张永新 院长
诊疗项目:种植牙,单颗种植,多颗种植,半口种植,全口种植,韩国登腾Dentium种植体,韩国奥齿泰Osstem种植体,瑞典诺贝尔Nobel种植体,瑞士ITI种植体,韩国安美齿IBS种植体,美国3I种植体,德国ICX种植体,美国皓圣Hiossen种植体,韩国DIO种植体,华西cdic种植体,美国百康Bicon种植体,德国xive种植体,德国Camlog种植体,瑞典astra种植体,韩国登特斯Dentis种植体,韩国美格真MegaGen种植体,德国贝格Bego种植体,德国费亚丹Ankylos种植体,瑞士士卓曼Straumann种植体,意大利西泰克C-Tech种植体,韩国仕诺康Snuc种植体,美国杰美Zimmer种植体,国产莱顿BLB种植体,国产威高WEGO种植体,以色列丹特因Dentin种植体,以色列柯特斯CORTEX种植体,穿颧种植,all-on-4种植牙,穿翼板种植牙技术,即刻种植牙,瑞士百丹特种植体,法国安卓健Anthogyr种植体,上颌窦提升术,韩国纽百特NeoBiotech种植体,all-on-6种植牙
医院:上海鼎植永博口腔门诊部
姜盼 副主任医师
诊疗项目:牙齿矫正,3M金属自锁托槽矫正,时代天使angelalign,隐适美Invisalign,舌侧矫正,正雅Smartee,陶瓷自锁矫正,正颌手术,时代天使comfos,金属非自锁托槽矫正
医院:中山大学光华口腔医学院附属口腔医院
周丽斌 主任医师
诊疗项目:种植牙,单颗种植,多颗种植,半口种植,全口种植,韩国登腾Dentium种植体,韩国奥齿泰Osstem种植体,瑞典诺贝尔Nobel种植体,瑞士ITI种植体,韩国安美齿IBS种植体,美国3I种植体,德国ICX种植体,美国皓圣Hiossen种植体,韩国DIO种植体,华西cdic种植体,美国百康Bicon种植体,德国xive种植体,德国Camlog种植体,瑞典astra种植体,韩国登特斯Dentis种植体,韩国美格真MegaGen种植体,德国贝格Bego种植体,德国费亚丹Ankylos种植体,瑞士士卓曼Straumann种植体,意大利西泰克C-Tech种植体,韩国仕诺康Snuc种植体,美国杰美Zimmer种植体,国产莱顿BLB种植体,国产威高WEGO种植体,以色列丹特因Dentin种植体,以色列柯特斯CORTEX种植体,穿颧种植,all-on-4种植牙,穿翼板种植牙技术,即刻种植牙,瑞士百丹特种植体,法国安卓健Anthogyr种植体,上颌窦提升术,韩国纽百特NeoBiotech种植体,all-on-6种植牙
医院:广州医科大学附属口腔医院
优惠
杭里口腔第一届99品质爱牙节: 种植牙价格超划算,丰厚礼品等你来拿!
2025-10-23 15:02:28
昆明柏德口腔11周年庆:德国种植牙种1送1,半全口种植牙优惠补贴60%
2025-10-20 17:53:30
西安团圆口腔美国3M-Z250树脂补牙原价350元,现168元起虫牙蛀牙快速搞定
2025-10-20 10:07:25
长春传阳口腔德国进口卡瓦种植牙原价5200元起现仅3480元起享3D导板技术
2025-10-18 14:36:03
乌鲁木齐天牙口腔树脂半口活动假牙原价3000元现1880元起,医用级树脂轻便耐用!
2025-10-17 14:40:28
乌鲁木齐天牙口腔超声波洁牙+喷砂套餐原价600元现288元起温和去渍赠口腔评估!
2025-10-16 10:17:35
美容