我们会尽快处理。
免责声明
您的位置: 聚美网 > 优惠 > 西安团圆口腔美国3M-Z250树脂补牙原价350元,现168元起虫牙蛀牙快速搞定
发布时间:2025-10-20 10:07:25
阅读:
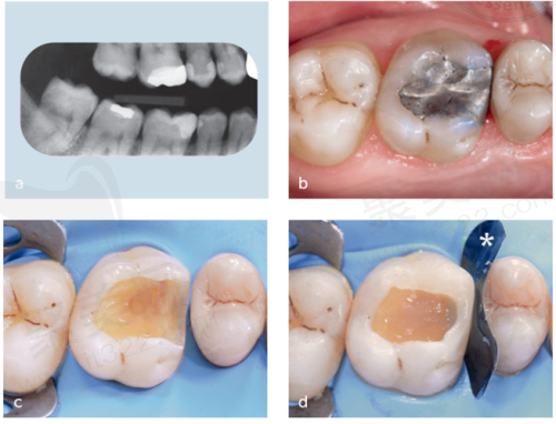
牙齿健康是我们生活中不可忽视的一部分,拥有一口洁白整齐的牙齿不仅能提升个人形象,还能让我们在享受美食时更加畅快。然而,龋齿等牙齿问题却常常困扰着我们,这时候补牙就成了修复牙齿健康的重要手段。现在,西安团圆口腔为大家带来了一项超值优惠活动——美国3M-Z250树脂补牙原价350元,现在只需168元起,如此划算的机会,您可千万不要错过!

此次西安团圆口腔推出的美国3M-Z250树脂补牙活动,价格十分诱人。原价350元的补牙项目,现在只需168元起。不过需要注意的是,这个价格因个人牙齿情况和治疗方案的差异仅供参考。具体的价格还需要您到院进行详细检查后,由专精医生制定个性化方案,才能确定更终费用。

西安团圆口腔在牙齿治疗方面拥有精良的技术和丰富的经验。对于美国3M-Z250树脂补牙项目,医院采用的是国内外领跑的补牙技术。医生们经过严格的专精培训,具备不错的技艺,能够精细地操作每一个补牙步骤。在补牙过程中,医生会先对患者的牙齿进行全方面的检查和诊断,确定龋齿的程度和范围,然后使用专精的工具完全清除龋坏组织。接着,将美国3M-Z250树脂材料正确地填充到牙齿缺损部位,并进行精细的塑形和打磨,使其与周围牙齿理想贴合,修复牙齿的正常形态和功能。

美国3M-Z250树脂材料是一种高品质的补牙材料,具有众多优点。它的颜色与自然牙齿非常接近,补牙后几乎看不出痕迹,能够良好地满足患者对美观的需求。这种材料具有良好的耐磨性和抗压性,能够承受日常咀嚼的压力,不易磨损和脱落,使用寿命长。此外,美国3M-Z250树脂材料还具有较好的生物相容性,对口腔组织刺激性小,能有效保护牙齿和牙龈的健康。

美国3M-Z250树脂补牙可以有效修复受损的牙齿,防止龋齿进一步发展。当牙齿出现龋洞时,如果不及时进行补牙,细菌会继续侵蚀牙齿内部,导致牙髓炎、根尖周炎等更重度的口腔疾病。通过补牙,可以修复牙齿的完整性,阻止细菌的侵入,保护牙髓和根尖周组织的健康。补牙还能修复牙齿的咀嚼功能,让您能够正常地进食各种食物,享受美食的乐趣。同时,整齐美观的牙齿也有助于提升个人的自信心和社交形象。

除了美国3M-Z250树脂补牙项目,西安团圆口腔还有其他丰富的口腔治疗项目,以下是部分项目的收费标准供您参考:
种植牙:5900元起(价格因种植体品牌和个人情况而异)
牙齿矫正:17000元起(不同的矫正方式价格有所不同)
VOCO纳米树脂补牙:726元起/颗
美国进口3M-Z350补牙:230元起/颗
美国进口3M-P60补牙:280元起/颗
烤瓷牙:880-1680元/颗
全瓷牙:2380-6800元/颗(含爱尔创、德国泽康、德国威兰德等品牌)
国产美加全瓷牙齿贴面:2000元起/颗
需要再次强调的是,以上价格仅供参考,实际费用会根据您的具体情况有所调整。

西安团圆口腔此次推出的美国3M-Z250树脂补牙优惠活动,以其超低的价格、精良的技术、优质的材料和专精的服务,为广大患者提供了一个突出的牙齿治疗机会。如果您正为牙齿问题而烦恼,不妨抓住这次机会,到西安团圆口腔体验美国3M-Z250树脂补牙的魅力。原价350元,现在只需168元起,赶快行动起来吧!
谢正新 院长
诊疗项目:种植牙,单颗种植,多颗种植,半口种植,全口种植,韩国登腾Dentium种植体,韩国奥齿泰Osstem种植体,瑞典诺贝尔Nobel种植体,瑞士ITI种植体,韩国安美齿IBS种植体,美国3I种植体,德国ICX种植体,美国皓圣Hiossen种植体,韩国DIO种植体,华西cdic种植体,美国百康Bicon种植体,德国xive种植体,德国Camlog种植体,瑞典astra种植体,韩国登特斯Dentis种植体,韩国美格真MegaGen种植体,德国贝格Bego种植体,德国费亚丹Ankylos种植体,瑞士士卓曼Straumann种植体,意大利西泰克C-Tech种植体,韩国仕诺康Snuc种植体,美国杰美Zimmer种植体,国产莱顿BLB种植体,国产威高WEGO种植体,以色列丹特因Dentin种植体,以色列柯特斯CORTEX种植体,穿颧种植,all-on-4种植牙,穿翼板种植牙技术,即刻种植牙,瑞士百丹特种植体,法国安卓健Anthogyr种植体,上颌窦提升术,韩国纽百特NeoBiotech种植体,all-on-6种植牙
医院:上海鼎植口腔(陆家嘴1088店)
贾岩 技术院长
诊疗项目:种植牙,单颗种植,多颗种植,半口种植,全口种植,穿颧种植,即刻种植牙
医院:天津中百口腔医院
杨松 正畸医师
诊疗项目:牙齿矫正,3M金属自锁托槽矫正,时代天使angelalign,隐适美Invisalign,正雅Smartee,陶瓷自锁矫正,时代天使comfos,金属非自锁托槽矫正
医院:安徽合肥贝杰口腔医院(瑶海院)
优惠
杭里口腔第一届99品质爱牙节: 种植牙价格超划算,丰厚礼品等你来拿!
2025-10-23 15:02:28
昆明柏德口腔11周年庆:德国种植牙种1送1,半全口种植牙优惠补贴60%
2025-10-20 17:53:30
西安团圆口腔美国3M-Z250树脂补牙原价350元,现168元起虫牙蛀牙快速搞定
2025-10-20 10:07:25
长春传阳口腔德国进口卡瓦种植牙原价5200元起现仅3480元起享3D导板技术
2025-10-18 14:36:03
乌鲁木齐天牙口腔树脂半口活动假牙原价3000元现1880元起,医用级树脂轻便耐用!
2025-10-17 14:40:28
乌鲁木齐天牙口腔超声波洁牙+喷砂套餐原价600元现288元起温和去渍赠口腔评估!
2025-10-16 10:17:35
口腔资讯