我们会尽快处理。
免责声明
您的位置: 聚美网 > 优惠 > 长春传阳口腔全瓷牙冠原价6000元起,现只要999元起,经验团队技术可靠!
发布时间:2025-10-15 10:11:08
阅读:
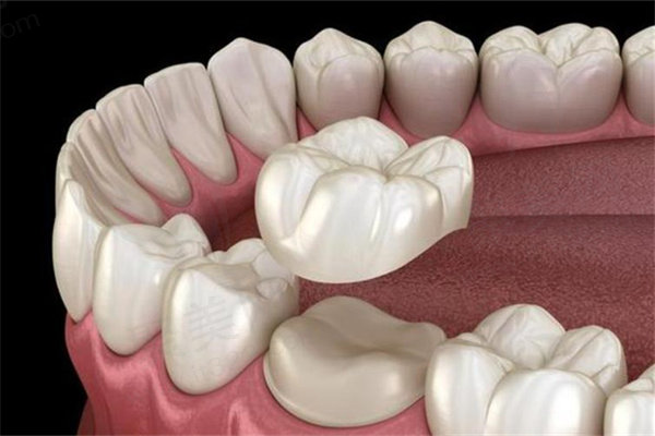
在日常生活中,牙齿的美观和健康对我们至关重要。拥有一口洁白整齐的牙齿,不仅能提升个人形象,还能让我们更加自信地展现笑容。而全瓷牙冠作为一种精良的牙齿修复方式,受到了越来越多人的关注。现在,长春传阳口腔为大家带来了一个超值的补贴,原价6000元起的全瓷牙冠,现在只要999元起,这无疑是牙齿修复患者的福音。接下来,让我们一起深入了解一下长春传阳口腔的全瓷牙冠项目。

此次长春传阳口腔推出的全瓷牙冠优惠活动力度空前。原价6000元起的全瓷牙冠,现在只需999元起。不过需要注意的是,这个价格因个人方案差异仅供参考,具体的费用还需要根据患者的牙齿情况、所选材料以及治疗方案等因素来确定。建议大家前往医院进行详细的询问和检查,以便获取正确的价格信息。

长春传阳口腔拥有一支经验多、技术可靠的团队。在全瓷牙冠的制作和安装过程中,医生们具备不错的技艺和丰富的临床经验。他们会根据患者的口腔结构、牙齿形态以及面部比例等多方面因素,进行个性化的设计和定制。
在技术方面,长春传阳口腔采用精良的数字化口腔技术。例如,利用三维CT扫描技术,能够严谨地获取患者口腔的详细数据,包括牙齿的位置、形态、牙根情况等,为全瓷牙冠的制作提供精细的模型。在全瓷牙冠的制作过程中,使用高品质的材料,确保牙冠的强度和美观度。同时,精良的制作工艺使得牙冠与患者的原有牙齿理想贴合,不仅佩戴舒适,而且在色泽和外观上也与自然牙齿几乎无差别。

全瓷牙冠具有多种重要的作用。首先,在美观方面,它能够有效改善牙齿的颜色和形态。对于牙齿变色、畸形、缺损等问题,全瓷牙冠可以提供理想的解决方案,让患者拥有洁白整齐的牙齿,修复自信的笑容。
其次,在功能方面,全瓷牙冠具有良好的咀嚼性能。它能够承受较大的咀嚼压力,确保患者正常的饮食需求。而且,全瓷牙冠与牙龈组织的生物相容性好,不会对牙龈造成刺激和损伤,有助于维持口腔的健康环境。

许多在长春传阳口腔做过全瓷牙冠的患者都给予了高度评价。他们表示,在就诊过程中,医生们的服务态度亲切和蔼,能够耐心地解答患者的疑问,让患者感受到温暖和关怀。而且,全瓷牙冠的成效非常理想,不仅外观美观,而且佩戴舒适,对日常生活没有任何影响。
另外,医院的环境整洁舒适,诊疗设备精良齐全,为患者提供了良好的就诊体验。从术前的检查到术后的回访,长春传阳口腔都做到了细致入微,让患者能够放心地接受治疗。

除了全瓷牙冠项目,长春传阳口腔还提供多种口腔诊疗服务,以下是部分项目的收费标准,仅供参考:
在长春传阳口腔,全瓷牙冠项目凭借其优惠的价格、出色的技术水平、显著的作用以及良好的患者体验,成为了牙齿修复患者的优质选择。原价6000元起的全瓷牙冠,现在只要999元起,这是一个难得的机会。如果你有牙齿修复的需求,不妨抓住这次优惠活动,前往长春传阳口腔,让经验多的团队为你打造一口健康美观的牙齿。
我最近在长春传阳口腔做了全瓷牙冠,原价6000元,现在只需999元,真的超划算!医生技术非常专业,整个过程很顺利,牙冠佩戴后效果自然,感觉自信多了!医院环境也很舒适,服务态度很好,值得推荐给需要牙齿修复的朋友们!
来自网友点评 | 发布于2025-11-06 20:31:01
姜盼 副主任医师
诊疗项目:牙齿矫正,3M金属自锁托槽矫正,时代天使angelalign,隐适美Invisalign,舌侧矫正,正雅Smartee,陶瓷自锁矫正,正颌手术,时代天使comfos,金属非自锁托槽矫正
医院:中山大学光华口腔医学院附属口腔医院
周丽斌 主任医师
诊疗项目:种植牙,单颗种植,多颗种植,半口种植,全口种植,韩国登腾Dentium种植体,韩国奥齿泰Osstem种植体,瑞典诺贝尔Nobel种植体,瑞士ITI种植体,韩国安美齿IBS种植体,美国3I种植体,德国ICX种植体,美国皓圣Hiossen种植体,韩国DIO种植体,华西cdic种植体,美国百康Bicon种植体,德国xive种植体,德国Camlog种植体,瑞典astra种植体,韩国登特斯Dentis种植体,韩国美格真MegaGen种植体,德国贝格Bego种植体,德国费亚丹Ankylos种植体,瑞士士卓曼Straumann种植体,意大利西泰克C-Tech种植体,韩国仕诺康Snuc种植体,美国杰美Zimmer种植体,国产莱顿BLB种植体,国产威高WEGO种植体,以色列丹特因Dentin种植体,以色列柯特斯CORTEX种植体,穿颧种植,all-on-4种植牙,穿翼板种植牙技术,即刻种植牙,瑞士百丹特种植体,法国安卓健Anthogyr种植体,上颌窦提升术,韩国纽百特NeoBiotech种植体,all-on-6种植牙
医院:广州医科大学附属口腔医院
谢正新 院长
诊疗项目:种植牙,单颗种植,多颗种植,半口种植,全口种植,韩国登腾Dentium种植体,韩国奥齿泰Osstem种植体,瑞典诺贝尔Nobel种植体,瑞士ITI种植体,韩国安美齿IBS种植体,美国3I种植体,德国ICX种植体,美国皓圣Hiossen种植体,韩国DIO种植体,华西cdic种植体,美国百康Bicon种植体,德国xive种植体,德国Camlog种植体,瑞典astra种植体,韩国登特斯Dentis种植体,韩国美格真MegaGen种植体,德国贝格Bego种植体,德国费亚丹Ankylos种植体,瑞士士卓曼Straumann种植体,意大利西泰克C-Tech种植体,韩国仕诺康Snuc种植体,美国杰美Zimmer种植体,国产莱顿BLB种植体,国产威高WEGO种植体,以色列丹特因Dentin种植体,以色列柯特斯CORTEX种植体,穿颧种植,all-on-4种植牙,穿翼板种植牙技术,即刻种植牙,瑞士百丹特种植体,法国安卓健Anthogyr种植体,上颌窦提升术,韩国纽百特NeoBiotech种植体,all-on-6种植牙
医院:上海鼎植口腔(陆家嘴1088店)
优惠
杭里口腔第一届99品质爱牙节: 种植牙价格超划算,丰厚礼品等你来拿!
2025-10-23 15:02:28
昆明柏德口腔11周年庆:德国种植牙种1送1,半全口种植牙优惠补贴60%
2025-10-20 17:53:30
西安团圆口腔美国3M-Z250树脂补牙原价350元,现168元起虫牙蛀牙快速搞定
2025-10-20 10:07:25
长春传阳口腔德国进口卡瓦种植牙原价5200元起现仅3480元起享3D导板技术
2025-10-18 14:36:03
乌鲁木齐天牙口腔树脂半口活动假牙原价3000元现1880元起,医用级树脂轻便耐用!
2025-10-17 14:40:28
乌鲁木齐天牙口腔超声波洁牙+喷砂套餐原价600元现288元起温和去渍赠口腔评估!
2025-10-16 10:17:35
口腔资讯