我们会尽快处理。
免责声明
您的位置: 聚美网 > 百科 > 牙齿修复 > 我二十岁烤瓷了17颗牙,20岁烤瓷牙经历分享:17颗牙的痛苦与重生,如何避免牙齿健康危机
发布时间:2025-09-19 13:52:56
阅读:
在我鲜艳的二十岁时,我做了一个令人难以置信的决定——我选择了烤瓷牙。整整17颗牙的烤瓷,让我经历了不同寻常的痛苦,甚至在日后的生活中带来了困扰。作为一名年轻人,我急于追求理想的笑容,却在无良医生的引导下,走向了深渊。与其说是为了美观,我更是付出了健康的代价。本文将围绕我二十岁烤瓷了17颗牙的经历展开深度剖析,向大家分享我的病痛历程及宝贵经验,以此来警示每一个渴望美牙的人们,如何选择更适合自己的护牙方式,避免不必要的牙齿健康危机。

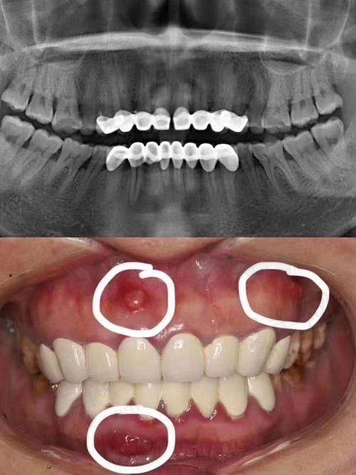
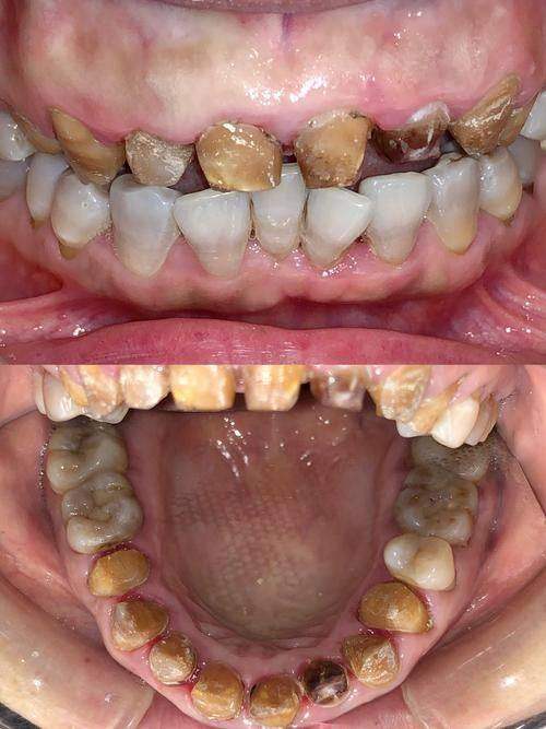
在我的牙齿健康遭遇到危机之前,我从未想过烤瓷牙会给我带来如此巨大的麻烦。作为一个年轻女性,我从小就对牙齿不太满意,尤其是前牙的拥挤和不整齐。在无良医生的向导下,我被告知必须要做17颗烤瓷牙,总费用高达3万元。起初,我觉得为了一个美好的笑容值得这些。
然而,经过几年后,烤瓷牙的问题开始显露出来,导致我每一天都过得郁闷而焦虑。牙龈发炎、腐臭味和不时的隐痛侵扰着我的生活,而医生却告诉我这些都是由于烤瓷牙不当操作引起的。我不禁反思,烤瓷牙是否真的能够改善我的牙齿健康?
医生建议我拆掉这些烤瓷牙,开始进行更为基础的治疗。被欺骗的感觉让我愤怒,我恨那位不负职责的医生。在此之前,我甚至不知道自己的真牙已经遭到腐蚀,到了不得不拔掉的地步。

每一次看牙,都是一次深刻的经历。为了避免此类健康危机,选择正规医院至关重要。一个有信誉的医疗机构,专精的医生,不仅能为你提供严谨的治疗方案,更能给你一个安心的医疗环境。因为在我千辛万苦经历烤瓷牙的痛苦后,才意识到一个好的开始是多么重要。
行业数据显示,许多因选择小型美容院而遭遇到口腔健康危机的患者屡见不鲜。许多人为了节约费用,轻信小诊所无良医生的宣传,导致后续问题频出。每当看到我身边的人因我二十岁烤瓷了17颗牙而痛苦的样子,我发自内心希望能够传递这个信息:治疗牙齿,一定不能贪图便宜!
在添加全瓷牙冠的过程中,正规的机构会确保每一个细节都在控制之中。医生会定期检查私人的基础牙齿,以防显著的问题出现。

经历了这些我才意识到,牙齿健康与饮食习惯之间密不可分。由于烤瓷牙的安装改变了我的咬合,导致我在饮食上特别小心。我现在不得不放弃特别多我曾喜爱的食物,甚至连简单的水果也变成了一种奢侈。
研究表明,健康的饮食不仅能增强身体抵抗力,更能有效维持口腔健康。作为年轻人的我,因为频繁的牙痛和不适,逐渐改变了饮食习惯,也在一定程度上影响了我的体重。在这种情况下,我体会到了牙齿健康对生活的影响,令人痛心的心灵教训,我希望能够告诉每一个人。
在我的体会中,我的饮食习惯可以从健康的角度进行重构,以便在享受美食的同时,也能保护好自己的牙齿。我想说,日常营养物质的摄取一定要全方面均衡才能确保健康的口腔。

牙齿疼痛是每个烤瓷牙患者都可能面临的一个问题。我曾认为这是不可避免的情况。然而,根据我的亲身经验,不进行定期的牙齿检查和不合格的烤瓷牙技术,不仅会导致牙疼,还可能引起更重度的口腔风险。
有一项数据调查显示,约30%的年轻人因不当的烤瓷牙治疗产生了不同程度的牙齿敏感和咬合错乱的问题。从我自身的经验来看,如果不及时处理,后果可能会特别重度。在此,我想特别提醒各位年轻人的朋友们,定期检查并了解牙医的专精建议,将会极大提升牙齿健康管理。
正是这些经验和教训的积累,使我更加意识到牙齿健康的重要性。而在我的故事中,千千万万的年轻人并不想重蹈覆辙。

经历了烤瓷牙的痛苦后,我又开始了我的重新开始。通过医生的建议,我选择了种植牙修复,这让我逐步走出了被骗做烤瓷牙的阴影。虽然种植牙的过程复杂且费用不菲,但我相信这是我值得拥有的健康投资。
种植牙的技术在近年来取得了显著的发展,可以较大程度贴合自然牙齿。相比于烤瓷牙,种植牙的成效更加持久,使用寿命可达十年以上,甚至能够终身使用,这让我倍感安心。了解这一点后,我开始重拾对笑容的信心。
更重要的是,种植牙不会改变我口腔的结构,它更注重维持我的咬合与发音,使我可以尽情享受美丽的生活。当我再次能够品尝食物的乐趣时,我感到无比欣慰。

纵观我二十岁烤瓷了17颗牙的经历,无疑是一个痛彻心扉的教训。在我自己的亲身故事中,我想告诉每一个关心牙齿健康的人,做健康牙齿的决策十分重要。希望每个人都能够重视牙齿的健康保护,定期就医,不要轻易相信小诊所和无良医生的伪善宣传。
牙齿作为人体印象的重要组成部分,承载着每一个人自信的笑容。通过我的经历警示大家:切勿因贪小便宜而选择错误的牙科治疗,爱护好自己的牙齿,从现在开始。希望每个人都能拥有一个美丽的笑容而不必羡慕他人,拥有自己的健康和快乐生活。
张永新 院长
诊疗项目:种植牙,单颗种植,多颗种植,半口种植,全口种植,韩国登腾Dentium种植体,韩国奥齿泰Osstem种植体,瑞典诺贝尔Nobel种植体,瑞士ITI种植体,韩国安美齿IBS种植体,美国3I种植体,德国ICX种植体,美国皓圣Hiossen种植体,韩国DIO种植体,华西cdic种植体,美国百康Bicon种植体,德国xive种植体,德国Camlog种植体,瑞典astra种植体,韩国登特斯Dentis种植体,韩国美格真MegaGen种植体,德国贝格Bego种植体,德国费亚丹Ankylos种植体,瑞士士卓曼Straumann种植体,意大利西泰克C-Tech种植体,韩国仕诺康Snuc种植体,美国杰美Zimmer种植体,国产莱顿BLB种植体,国产威高WEGO种植体,以色列丹特因Dentin种植体,以色列柯特斯CORTEX种植体,穿颧种植,all-on-4种植牙,穿翼板种植牙技术,即刻种植牙,瑞士百丹特种植体,法国安卓健Anthogyr种植体,上颌窦提升术,韩国纽百特NeoBiotech种植体,all-on-6种植牙
医院:上海鼎植永博口腔门诊部
姜盼 副主任医师
诊疗项目:牙齿矫正,3M金属自锁托槽矫正,时代天使angelalign,隐适美Invisalign,舌侧矫正,正雅Smartee,陶瓷自锁矫正,正颌手术,时代天使comfos,金属非自锁托槽矫正
医院:中山大学光华口腔医学院附属口腔医院
周丽斌 主任医师
诊疗项目:种植牙,单颗种植,多颗种植,半口种植,全口种植,韩国登腾Dentium种植体,韩国奥齿泰Osstem种植体,瑞典诺贝尔Nobel种植体,瑞士ITI种植体,韩国安美齿IBS种植体,美国3I种植体,德国ICX种植体,美国皓圣Hiossen种植体,韩国DIO种植体,华西cdic种植体,美国百康Bicon种植体,德国xive种植体,德国Camlog种植体,瑞典astra种植体,韩国登特斯Dentis种植体,韩国美格真MegaGen种植体,德国贝格Bego种植体,德国费亚丹Ankylos种植体,瑞士士卓曼Straumann种植体,意大利西泰克C-Tech种植体,韩国仕诺康Snuc种植体,美国杰美Zimmer种植体,国产莱顿BLB种植体,国产威高WEGO种植体,以色列丹特因Dentin种植体,以色列柯特斯CORTEX种植体,穿颧种植,all-on-4种植牙,穿翼板种植牙技术,即刻种植牙,瑞士百丹特种植体,法国安卓健Anthogyr种植体,上颌窦提升术,韩国纽百特NeoBiotech种植体,all-on-6种植牙
医院:广州医科大学附属口腔医院
优惠
杭里口腔第一届99品质爱牙节: 种植牙价格超划算,丰厚礼品等你来拿!
2025-10-23 15:02:28
昆明柏德口腔11周年庆:德国种植牙种1送1,半全口种植牙优惠补贴60%
2025-10-20 17:53:30
西安团圆口腔美国3M-Z250树脂补牙原价350元,现168元起虫牙蛀牙快速搞定
2025-10-20 10:07:25
长春传阳口腔德国进口卡瓦种植牙原价5200元起现仅3480元起享3D导板技术
2025-10-18 14:36:03
乌鲁木齐天牙口腔树脂半口活动假牙原价3000元现1880元起,医用级树脂轻便耐用!
2025-10-17 14:40:28
乌鲁木齐天牙口腔超声波洁牙+喷砂套餐原价600元现288元起温和去渍赠口腔评估!
2025-10-16 10:17:35
美容