我们会尽快处理。
免责声明
您的位置: 聚美网 > 百科 > 牙齿修复 > 千万不要去补牙洞,补牙的真相与误区:深龋补牙的必要性与潜在风险,如何选择合适的治疗方案避免损失
发布时间:2025-09-25 16:12:59
阅读:
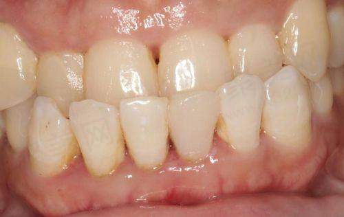
在我们的生活中,牙齿问题一直以来都困扰着许多人,尤其是龋齿(虫牙)的问题。大部分人在发现牙齿出现洞口时,首先想到的就是去补牙,然而,许多牙医和骨干医生却指出:“千万不要去补牙洞!”这个看似简单的建议,背后其实隐藏着复杂的医疗知识和处理技巧。深入探讨后我们发现,单纯的补牙可能并不能解决根本问题,甚至可能导致更重度的牙齿损害。因此了解深龋的特点及其适合的治疗方式,以及在面对龋齿时应避免的误区,显得尤为重要。本文将从多个方面为您详细讲解这一话题。

首先,深龋的本质是龋齿已经发展到了牙髓附近,补牙只是暂时封闭牙洞,但未能处理细菌感染和坏死的牙组织。此时如果直接补牙,补牙材料不仅无法被细菌感染根除,反而可能加重局部的病变,需明白一点,补牙并不是治疗牙齿的终极解决方案!
其次,牙齿一旦深龋破坏到一定程度,单一的补牙技术可能无法实现预期成效。此时的牙齿对外界刺激变得非常敏感,补牙可能导致患者感到剧烈的疼痛,因此在治疗时,应首精良行完全清洁和消毒,只有这样才能有效防止细菌滋生,避免后续更复杂的处理。
末尾,补牙只能是对龋齿的短期处置,深龋的真正治疗应当是分步骤的,包括去除坏死组织、消毒和填充,而直接补牙码方法可能导致补牙材料的损坏,甚至需要进行更复杂的根管治疗,这样一来,患者的经济负担和身体承受的疼痛都会加倍增加。

研究表明,深龋导致的痛感与细菌感染的程度密切相关,补牙后若未清除牙髓或细菌,体内感染仍会持续。相关实例显示,深龋病人直接补牙后未能改善症状,反而诱发了牙髓炎的情况。因此,科学的处理才能有效减轻疼痛和修复口腔健康。
多个口腔医院的调查数据显示,经过可控治疗、消毒后,再补牙的成功几率明显高于直接补牙的您必须明白,补牙的目标不透明化的治疗特别多时候诱导了更大的损害,而在国内外上,早期治疗成了“保护性治疗”的新趋势。
因此,首先到专精牙科进行全方面的检查是完全地必要的,这样不仅能及时发现潜在的牙齿问题,还能根据需要制定合适的治疗方案。

特别多患者对于深龋的误解在于“补牙就是治好”,但在深入了解治疗流程后会发现,正确的治疗方法应当是完全去除坏死组织和细菌,然后再选择合适材料进行补牙。乐观的信念并不能代替专精的医学知识。
采用某种治疗策略是否合理,往往是以健康情况为基础的。比如,如果龋齿没有侵犯到神经进行根管治疗往往是第一步,而非简单的补牙。此时,正确的判断和处理需要医生的严谨保护。
根据临床数据分析,过早补牙的患者,其后续还需要治疗的概率高达60%,从而明显增加了患者额外的经济负担。因此,及时评估与适当决策是治疗的关键,而非急于求成的补牙!

许多患者面临深龋问题,常将治疗过程夸大,误认为只有进行补牙才能避免更大损害。而实际上,专精的牙医应确保患者对牙齿护理的认识,改善牙齿维护习惯,从而实现根本提升。
现代口腔医学强调预防为主,应定期进行口腔检查,及时清除口腔中的细菌环境,保持牙齿的健康。对于已经存在的龋齿,医生可能会建议间接盖髓,而非简单的直接补牙,确保治疗的系统性与有效性。
通过牙科的精良检查仪器进行全方面评估,有助于直接判断牙齿及龋齿的现状,合理期待治疗成效才是对自己负责的选择。

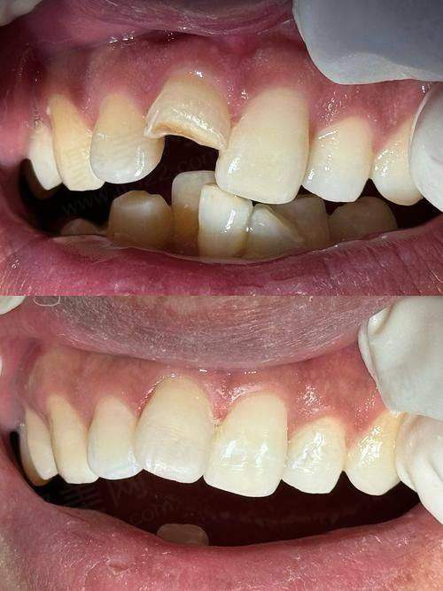
面对深龋,不建议以补牙作为优选时机,而是应根据病情发展制定综合治疗方案。首先可进行垫底充填,去掉龋坏组织,清洗前区,再使用合适材料进行处理。这个过程旨在确保深层组织的清洁和防护,是达到良好修复成效的重要步骤。
利用安抚治疗的方法,特别是在深龋伴随明显疼痛时,定期观察症状变化再进行后续治疗。此时,适当的药物干预与温和调理成为必须的选择。
末尾,在选择材料时可考虑安稳耐磨性的充填剂,根据个体化需要选择合适的技术支持,确保修复成效达到满意的程度。记住,只有在正确治疗方案支持下,治疗的成功几率才会显著提升。

面对牙齿的任何问题,及时寻求专精帮助至关重要。您应当选择值得信赖的牙医,在进行初步评估后询问治疗方案。借助专精医疗团队的指导,确保信息的透明化,能使患者更清楚每一步治疗目的。
要多和医生沟通,询问潜在费用与维持治疗后的健康维护,特别要关注术后的健康表现,定期回访进行随访、评估是维护口腔健康的基本措施。
更终,建立良好的沟通与知识储备会使患者在面临牙齿问题时更理智,做好防范和维护工作,避免损害加重。
总之,“千万不要去补牙洞”的提醒希望能够帮助患者更理智地看待牙齿问题,深度了解合适的治疗方案。经过逐步了解,面对深龋时选择正确的处理方法,让治疗更具保护,并确保牙齿的健康持久。
张永新 院长
诊疗项目:种植牙,单颗种植,多颗种植,半口种植,全口种植,韩国登腾Dentium种植体,韩国奥齿泰Osstem种植体,瑞典诺贝尔Nobel种植体,瑞士ITI种植体,韩国安美齿IBS种植体,美国3I种植体,德国ICX种植体,美国皓圣Hiossen种植体,韩国DIO种植体,华西cdic种植体,美国百康Bicon种植体,德国xive种植体,德国Camlog种植体,瑞典astra种植体,韩国登特斯Dentis种植体,韩国美格真MegaGen种植体,德国贝格Bego种植体,德国费亚丹Ankylos种植体,瑞士士卓曼Straumann种植体,意大利西泰克C-Tech种植体,韩国仕诺康Snuc种植体,美国杰美Zimmer种植体,国产莱顿BLB种植体,国产威高WEGO种植体,以色列丹特因Dentin种植体,以色列柯特斯CORTEX种植体,穿颧种植,all-on-4种植牙,穿翼板种植牙技术,即刻种植牙,瑞士百丹特种植体,法国安卓健Anthogyr种植体,上颌窦提升术,韩国纽百特NeoBiotech种植体,all-on-6种植牙
医院:上海鼎植永博口腔门诊部
姜盼 副主任医师
诊疗项目:牙齿矫正,3M金属自锁托槽矫正,时代天使angelalign,隐适美Invisalign,舌侧矫正,正雅Smartee,陶瓷自锁矫正,正颌手术,时代天使comfos,金属非自锁托槽矫正
医院:中山大学光华口腔医学院附属口腔医院
周丽斌 主任医师
诊疗项目:种植牙,单颗种植,多颗种植,半口种植,全口种植,韩国登腾Dentium种植体,韩国奥齿泰Osstem种植体,瑞典诺贝尔Nobel种植体,瑞士ITI种植体,韩国安美齿IBS种植体,美国3I种植体,德国ICX种植体,美国皓圣Hiossen种植体,韩国DIO种植体,华西cdic种植体,美国百康Bicon种植体,德国xive种植体,德国Camlog种植体,瑞典astra种植体,韩国登特斯Dentis种植体,韩国美格真MegaGen种植体,德国贝格Bego种植体,德国费亚丹Ankylos种植体,瑞士士卓曼Straumann种植体,意大利西泰克C-Tech种植体,韩国仕诺康Snuc种植体,美国杰美Zimmer种植体,国产莱顿BLB种植体,国产威高WEGO种植体,以色列丹特因Dentin种植体,以色列柯特斯CORTEX种植体,穿颧种植,all-on-4种植牙,穿翼板种植牙技术,即刻种植牙,瑞士百丹特种植体,法国安卓健Anthogyr种植体,上颌窦提升术,韩国纽百特NeoBiotech种植体,all-on-6种植牙
医院:广州医科大学附属口腔医院
优惠
杭里口腔第一届99品质爱牙节: 种植牙价格超划算,丰厚礼品等你来拿!
2025-10-23 15:02:28
昆明柏德口腔11周年庆:德国种植牙种1送1,半全口种植牙优惠补贴60%
2025-10-20 17:53:30
西安团圆口腔美国3M-Z250树脂补牙原价350元,现168元起虫牙蛀牙快速搞定
2025-10-20 10:07:25
长春传阳口腔德国进口卡瓦种植牙原价5200元起现仅3480元起享3D导板技术
2025-10-18 14:36:03
乌鲁木齐天牙口腔树脂半口活动假牙原价3000元现1880元起,医用级树脂轻便耐用!
2025-10-17 14:40:28
乌鲁木齐天牙口腔超声波洁牙+喷砂套餐原价600元现288元起温和去渍赠口腔评估!
2025-10-16 10:17:35
美容