我们会尽快处理。
免责声明
您的位置: 聚美网 > 百科 > 牙齿修复 > 威兰德和泽康哪个好?威兰德与泽康全瓷牙冠对比分析:选择哪种更适合后牙及前牙修复?
发布时间:2025-09-25 16:23:02
阅读:
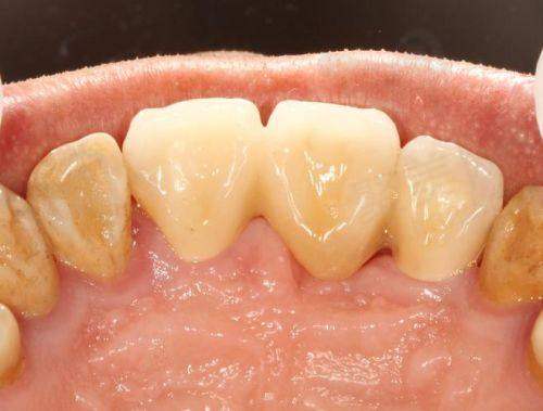
在如今的牙齿修复行业中,全瓷牙逐渐成为患者们的优选,它不仅能够修复牙齿的功能,还可以让笑容更加美丽。在众多全瓷牙品牌中,德国的威兰德和泽康是备受推崇的两个品牌,许多顾客在选择时常常感到困惑,不知该选择哪个更好。本文将深入探讨“威兰德和泽康哪个好”的问题,从多方面对比这两款全瓷牙,帮助您做出更明智的选择。

首先,威兰德全瓷牙因其优异的美观成效和较高的透明度而受到青睐,而泽康全瓷牙则以其更高的抗弯强度和耐久性著称。通过对比这两者的材料组成、性能特点及市场定位,我们将全方面分析它们各自的优势和适用场景,以便帮助您根据自己的需求作出更合适的选择。
总结来说,威兰德和泽康各具优势,威兰德更适合追求美观前牙修复的人士,而泽康则适合对耐用性有更高要求的后牙修复需求。接下来我们将详细分析,了解这两个品牌的不同之处,以及如何做出适合自己的选择。
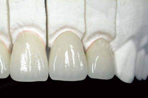
威兰德全瓷牙的主要成分为二氧化锆(92%)、氧化钇(5%)和少量的氧化铪,这种配方使得其拥有良好的美学成效,能够逼真模拟自然牙齿的颜色和光泽。威兰德全瓷牙因其交流性和自然光泽,在美学修复中广受欢迎。
相对而言,泽康全瓷牙虽然成分相似,包括二氧化锆(92%)和氧化钇(5%),但其氧化铪的含量较低(<2%),影响了其耐腐蚀性。在技术上,泽康全瓷牙由于采用了封闭授权的生产系统,因此其建筑密度和抗弯强度达到了<1400Mpa>,使得其在极端使用情况下更具优势。
综上比较,在成分和制造工艺上,两者各有千秋,威兰德强调美感,而泽康在耐用性方面表现更为突出。

提到抗弯强度,威兰德的抗弯强度达到">1000兆帕,这是其在牙齿修复领域的一个重要指标。这个强度足以满足日常饮食的需求,因此,同时也适合前牙美学修复。
而在选择前牙更应关注到牙齿的美观,威兰德的优良透明度与色泽更能满足患者的审美需求,因此在前牙修复的场景中更具突出优势。
如果你的需求主要集中在对美观的要求上,那么选择威兰德全瓷牙完全地是一个明智决策,尤其是对于年轻和爱美人士而言。

泽康全瓷牙则是以其较高的抗弯强度而著称,达到约">1200兆帕,这使得泽康成为后牙修复的理想选择。后牙在咀嚼食物过程中承受的力道较大,对牙冠的强度要求相对较高。
比如在日常饮食中,坚硬的食材对修复牙的挑战也较为显著。此时选择泽康全瓷牙不仅可以确保牙冠的坚固性,还可以避免因牙冠破裂而导致的疼痛和不适。许多用户在经验分享中提到,他们选择泽康进行后牙修复主要是考虑到它的">耐用性。
如果你侧重于牙冠的强度与耐用性,尤其是后牙需要承担较多咀嚼压力,那么泽康将是您至佳的选择。

威兰德全瓷牙以基础品牌为市场定位,在价格上相对亲民,整体参考价格大约在">3000元至4000元之间。由于其生产工艺较为开放,许多加工厂皆可进行威兰德全瓷牙的制作,这亦间接导致了它在市场上的价格区间普遍较大。
泽康则属于中端品牌,因需授权的工厂较少,所以其价格大概在">4000元至6000元,相对较高。尽管价格上略显贵,但由于其良好的抗弯强度及耐久性,许多消费者在选择时愿意花更高的成本以获得优质的后牙修复。
因此,市场定位的差异使得威兰德和泽康在价格定位上也形成了明显的区分,患者可按照自身的预算和需求进行选择。

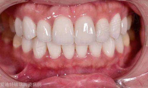
从美观的角度来看,威兰德全瓷牙在色泽和透明度上都表现得相当非凡,符合大多数患者对自然牙外观的期待。尤其是在前牙修复时,其伪真性使得大家在与人交流时更加自信。
相对而言,泽康由于其金属内层的构造可能会在某种程度上影响到美观,但其更强的耐用性无疑是它的主要卖点。建议在做后牙时修复使用泽康全瓷牙,而前牙修复仍然建议使用威兰德,以确保其色泽与光泽成效。
在实际应用中,也有患者在选择威兰德修复前牙时,形象理想较高,称其修复成效理想,而在后牙选择泽康全瓷牙,极大地提升了他们的咀嚼体验。

例如,一位年轻的消费者在选择前牙美学修复时,选择了威兰德全瓷牙,术后反馈称其自然光泽使得她的笑容更为迷人,获得了周遭人的高度赞誉。而另一位重度咀嚼需求的患者则选择了泽康全瓷牙,尽管价格略贵,但使用两年后依然保持了强劲的耐用性,理想应对了各类坚硬食材。
行业数据显示,威兰德在前牙美学的市场占有率已高达">60%,泽康在后牙耐用性中的占有率也稳步提升至">55%,表明业内对这两品牌的认可度正在不断上升。
选择威兰德或泽康全瓷牙,可以根据自身口腔的具体需求、预算以及医生的建议,进行科学合理的决策。

总之,关于“威兰德和泽康哪个好”的问题,通过对它们在成分、抗弯强度、美观性、市场定位等方面的分析,我们可以得出明确的结论:威兰德更适合追求高美观成效的前牙修复,而泽康则是后牙修复的理想选择,因其强压抗弯能力出众。
无论您选择哪个品牌,均应结合个人的口腔需求、经济预算及医生的专精建议来作出决策。正如广大患者反馈,更适合的才是更好的选择。希望本篇文章能对您在选购全瓷牙的过程中有所帮助,使您的每一次微笑都充满信心与美丽。
张永新 院长
诊疗项目:种植牙,单颗种植,多颗种植,半口种植,全口种植,韩国登腾Dentium种植体,韩国奥齿泰Osstem种植体,瑞典诺贝尔Nobel种植体,瑞士ITI种植体,韩国安美齿IBS种植体,美国3I种植体,德国ICX种植体,美国皓圣Hiossen种植体,韩国DIO种植体,华西cdic种植体,美国百康Bicon种植体,德国xive种植体,德国Camlog种植体,瑞典astra种植体,韩国登特斯Dentis种植体,韩国美格真MegaGen种植体,德国贝格Bego种植体,德国费亚丹Ankylos种植体,瑞士士卓曼Straumann种植体,意大利西泰克C-Tech种植体,韩国仕诺康Snuc种植体,美国杰美Zimmer种植体,国产莱顿BLB种植体,国产威高WEGO种植体,以色列丹特因Dentin种植体,以色列柯特斯CORTEX种植体,穿颧种植,all-on-4种植牙,穿翼板种植牙技术,即刻种植牙,瑞士百丹特种植体,法国安卓健Anthogyr种植体,上颌窦提升术,韩国纽百特NeoBiotech种植体,all-on-6种植牙
医院:上海鼎植永博口腔门诊部
姜盼 副主任医师
诊疗项目:牙齿矫正,3M金属自锁托槽矫正,时代天使angelalign,隐适美Invisalign,舌侧矫正,正雅Smartee,陶瓷自锁矫正,正颌手术,时代天使comfos,金属非自锁托槽矫正
医院:中山大学光华口腔医学院附属口腔医院
周丽斌 主任医师
诊疗项目:种植牙,单颗种植,多颗种植,半口种植,全口种植,韩国登腾Dentium种植体,韩国奥齿泰Osstem种植体,瑞典诺贝尔Nobel种植体,瑞士ITI种植体,韩国安美齿IBS种植体,美国3I种植体,德国ICX种植体,美国皓圣Hiossen种植体,韩国DIO种植体,华西cdic种植体,美国百康Bicon种植体,德国xive种植体,德国Camlog种植体,瑞典astra种植体,韩国登特斯Dentis种植体,韩国美格真MegaGen种植体,德国贝格Bego种植体,德国费亚丹Ankylos种植体,瑞士士卓曼Straumann种植体,意大利西泰克C-Tech种植体,韩国仕诺康Snuc种植体,美国杰美Zimmer种植体,国产莱顿BLB种植体,国产威高WEGO种植体,以色列丹特因Dentin种植体,以色列柯特斯CORTEX种植体,穿颧种植,all-on-4种植牙,穿翼板种植牙技术,即刻种植牙,瑞士百丹特种植体,法国安卓健Anthogyr种植体,上颌窦提升术,韩国纽百特NeoBiotech种植体,all-on-6种植牙
医院:广州医科大学附属口腔医院
优惠
杭里口腔第一届99品质爱牙节: 种植牙价格超划算,丰厚礼品等你来拿!
2025-10-23 15:02:28
昆明柏德口腔11周年庆:德国种植牙种1送1,半全口种植牙优惠补贴60%
2025-10-20 17:53:30
西安团圆口腔美国3M-Z250树脂补牙原价350元,现168元起虫牙蛀牙快速搞定
2025-10-20 10:07:25
长春传阳口腔德国进口卡瓦种植牙原价5200元起现仅3480元起享3D导板技术
2025-10-18 14:36:03
乌鲁木齐天牙口腔树脂半口活动假牙原价3000元现1880元起,医用级树脂轻便耐用!
2025-10-17 14:40:28
乌鲁木齐天牙口腔超声波洁牙+喷砂套餐原价600元现288元起温和去渍赠口腔评估!
2025-10-16 10:17:35
美容