
您的位置: 聚美网 > 问答 > 种牙还是烤瓷牙好一点?多维度对比分析,助你选对牙齿修复方式
牙齿缺失后,特别多人都会纠结种牙还是烤瓷牙好。其实这两种修复方式各有优劣,不能简单地说哪个更好,得结合多方面因素综合考量。接下来,咱们就从多个维度详细对比一下种牙和烤瓷牙,帮你选出适合自己的牙齿修复方式。
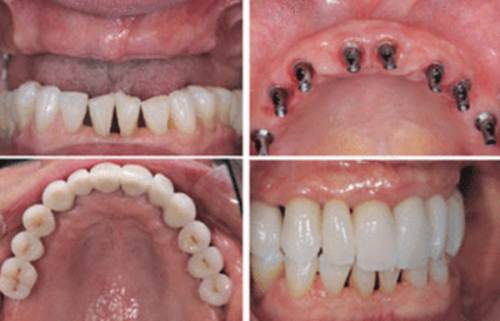
(一)种牙的原理
种牙,简单来说,就是把人工牙根植入牙槽骨内,等人工牙根和牙槽骨长在一起后,再安装上牙冠,这样就完成了牙齿的修复。这个人工牙根就相当于真牙的牙根,能给牙冠提供稳定的支撑,让牙齿就像真牙一样结实耐用。
(二)烤瓷牙的原理
烤瓷牙是通过把缺失牙两边的健康牙齿磨小,然后做一个连冠套在磨小的牙齿上,以此来修复缺失的牙齿。它主要是依靠两边的基牙来固定和支撑,就像搭桥一样,所以也叫烤瓷桥。
(一)种牙的优点
1. 咀嚼功能强:种牙有自己独立的人工牙根,能良好地修复牙齿的咀嚼功能,咀嚼效率能达到天然牙的 90%以上。就好比你原来的真牙能轻松咬碎各种食物,种牙后也能有类似的成效,吃嘛嘛香。
2. 不损伤邻牙:种牙不需要磨损旁边的健康牙齿,能较大程度地保留自己的真牙。这就好比盖房子,不用拆了旁边的房子来给自己的房子打基础,对牙齿的整体结构和健康影响较小。
3. 使用寿命长:如果维护得当,种牙的使用寿命一般在 15 - 30 年,甚至更久。这就意味着一次种牙,能在特别长时间内为你服务,不用频繁更换。
4. 稳定性好:人工牙根和牙槽骨紧密结合,能像真牙一样稳稳地扎根在口腔里,不会出现松动、移位等问题,让你在使用过程中更加安心。
(二)种牙的缺点
1. 治疗周期长:种牙一般需要 3 - 6 个月的时间,因为人工牙根植入后需要和牙槽骨进行骨结合,这个过程比较缓慢。在这段时间里,你可能需要多次去医院复诊,等待的时间比较长。
2. 费用较高:单颗种牙的费用大概在 8000 - 20000 元左右,相比烤瓷牙要贵一些。这对于一些经济条件不太好的人来说,可能是一个不小的负担。
3. 手术有风险:种牙是一个小手术,虽然现在技术比较成熟,但仍然存在一定的风险,比如感染、出血、神经损伤等。而且对于一些患有重度牙周病、糖尿病未控制或骨质疏松的人来说,种植失败的风险会更高。
(三)烤瓷牙的优点
1. 修复速度快:烤瓷牙一般只需要 2 - 3 周的时间就能完成修复,不需要长时间的等待。如果你着急修复牙齿,修复美观和咀嚼功能,烤瓷牙是一个比较快速的选择。
2. 费用较低:单颗烤瓷牙的费用大概在 3000 - 8000 元左右,相对种牙来说比较便宜。对于预算有限的人来说,是一个可以考虑的方案。
3. 手术难度小:烤瓷牙不需要进行复杂的手术,只需要把两边的基牙磨小,然后取模制作牙冠就可以了。手术过程相对简单,对患者的身体要求也比较低。
(四)烤瓷牙的缺点
1. 损伤邻牙:烤瓷牙需要把缺失牙两边的健康牙齿磨小,这对牙齿是一种不可逆的损伤。磨小的牙齿在以后的生活中可能会出现敏感、疼痛等问题,而且如果基牙出现问题,整个烤瓷牙都可能受到影响。
2. 使用寿命相对较短:烤瓷牙的使用寿命一般在 8 - 15 年,相比种牙要短一些。而且随着时间的推移,烤瓷牙可能会出现崩瓷、牙龈黑线等问题,需要及时更换。
3. 咀嚼功能受限:烤瓷牙主要依靠两边的基牙来承重,咀嚼力量相对较弱,不能像种牙那样承受较大的咀嚼压力。在吃一些较硬的食物时,可能会受到一定的限制。
(一)单颗牙缺失
如果牙槽骨条件良好,邻牙健康,种牙是比较好的选择。因为种牙不损伤邻牙,能良好地修复牙齿的功能和美观,使用寿命也长。但如果牙槽骨条件不好,或者不想进行手术,也可以考虑烤瓷牙。
(二)多颗牙缺失
1. 连缺多颗牙:如果是连缺 6 颗牙这种情况,种植牙比镶烤瓷牙要好些。做种植牙只需植入 3 - 4 颗种植体加上连桥冠,就可以完成修复,而且咀嚼力度、咬合力量都比较好。而镶烤瓷牙需要选择至少两个健康的基牙搭桥,当缺失牙齿数量较多时,可能会面临基牙不够或者基牙不健康的问题,修复成效不理想。
2. 间隔缺牙且邻牙龋坏:如果缺失的牙齿是间隔分布的,而且缺牙两边的邻牙有龋坏或牙冠有损伤、裂痕,此时选择镶烤瓷牙,刚好可以在修复缺失牙的同时,修复邻牙的不足。但前提是邻牙的牙根必须健康且稳固,否则基牙松动脱落,烤瓷牙也会跟着脱落。
3. 缺牙位置的邻牙健康:不管缺几颗牙,只要缺牙位置的邻牙健康,都建议选择种植牙修复。因为种植牙有自己的人工牙根,不需要损伤邻牙,还能对牙槽骨起到生理性刺激,避免牙槽骨发生废用性萎缩吸收。
(一)门牙修复
门牙修复更注重美观度。如果牙槽骨薄且不接受植骨手术,全瓷桥(烤瓷牙的一种)可能是更现实的选择。因为全瓷桥的颜色和透明度与天然牙相似,能达到良好的美观成效。但如果牙槽骨条件允许,种牙也是一个不错的选择,种牙的美观度和稳定性都比较高。
(二)后牙修复
后牙区咀嚼压力大,种植牙的长久稳定性更具优势。后牙主要负责咀嚼食物,需要承受较大的力量,种植牙的人工牙根能提供足够的支撑,确保牙齿在长期使用过程中不会出现问题。而烤瓷牙由于依靠邻牙承重,在长期的咀嚼压力下,基牙可能会受到损伤。
(一)种牙的费用
种牙的费用包括种植体、基台、牙冠、手术费、术后护理费用等。单颗种牙的费用大概在 8000 - 20000 元左右,全口种植牙(含以上所有项目)的费用大概在 31099 元左右。不过,现在种植牙集采过后,价格有所下降,2025 元起左右就可以做种植牙了。
(二)烤瓷牙的费用
烤瓷牙的费用相对较低,单颗烤瓷牙的费用大概在 3000 - 8000 元左右。具体费用会根据烤瓷牙的材料、品牌、地区等因素有所不同。
(一)种牙的注意事项
1. 术前评估:种牙前需要进行全方面的口腔检查,包括全景片或 CBCT 检查,评估骨量、咬合空间及牙龈状况。同时,要告知医生自己的全身健康状况,如是否患有糖尿病、高血压、心脏病等疾病,因为这些疾病可能会影响种牙的成功几率。
2. 术后护理:种牙后要注意口腔卫生,遵循医生的建议服用消炎药,避免食用实力强、过烫的食物,以免损伤种植体。术后还需要定期复诊,观察种植体的愈合情况。
3. 维护保养:种牙后每年至少要进行一次专精洁牙和义齿维护,保持口腔清洁,延长种牙的使用寿命。
(二)烤瓷牙的注意事项
1. 基牙保护:烤瓷牙依靠两边的基牙来固定,所以要特别注意基牙的保护。平时要保持口腔卫生,定期刷牙、漱口,避免基牙发生龋坏或牙周病。
2. 避免咬硬物:烤瓷牙的咀嚼功能相对较弱,要避免咬实力强的食物,如坚果、骨头等,以免导致烤瓷牙崩瓷或基牙损伤。
3. 定期检查:要定期到医院检查烤瓷牙的使用情况,如发现烤瓷牙有松动、崩瓷、牙龈红肿等问题,要及时处理。
种牙还是烤瓷牙好,没有完全地的答案,需要根据个人的牙齿条件、健康需求、经济预算等多方面因素综合考虑。在选择牙齿修复方式时,建议你到正规的医疗机构,让专精的医生根据你的具体情况进行评估和建议。同时,要做好术前评估和术后护理,这样才能确保牙齿修复的成效和质量,让你重新拥有健康、美丽的牙齿。
李静 院长
诊疗项目:种植牙,单颗种植,多颗种植,半口种植,全口种植,韩国登腾Dentium种植体,韩国奥齿泰Osstem种植体,瑞典诺贝尔Nobel种植体,瑞士ITI种植体,韩国安美齿IBS种植体,美国3I种植体,德国ICX种植体,美国皓圣Hiossen种植体,韩国DIO种植体,华西cdic种植体,美国百康Bicon种植体,德国xive种植体,德国Camlog种植体,瑞典astra种植体,韩国登特斯Dentis种植体,韩国美格真MegaGen种植体,德国贝格Bego种植体,德国费亚丹Ankylos种植体,瑞士士卓曼Straumann种植体,意大利西泰克C-Tech种植体,韩国仕诺康Snuc种植体,美国杰美Zimmer种植体,国产莱顿BLB种植体,国产威高WEGO种植体,以色列丹特因Dentin种植体,以色列柯特斯CORTEX种植体,穿颧种植,all-on-4种植牙,穿翼板种植牙技术,即刻种植牙,瑞士百丹特种植体,法国安卓健Anthogyr种植体,上颌窦提升术,韩国纽百特NeoBiotech种植体,all-on-6种植牙
医院:上海泰康拜博昌仁口腔医院
姚桂军 院长
诊疗项目:种植牙,牙齿美白,补牙,牙周治疗,牙齿修复
医院:娄底佳丽口腔医院
江亲远 院长
诊疗项目:种植牙,单颗种植,多颗种植,半口种植,全口种植,韩国登腾Dentium种植体,韩国奥齿泰Osstem种植体,瑞典诺贝尔Nobel种植体,瑞士ITI种植体,韩国安美齿IBS种植体,美国3I种植体,德国ICX种植体,美国皓圣Hiossen种植体,韩国DIO种植体,华西cdic种植体,美国百康Bicon种植体,德国xive种植体,德国Camlog种植体,瑞典astra种植体,韩国登特斯Dentis种植体,韩国美格真MegaGen种植体,德国贝格Bego种植体,德国费亚丹Ankylos种植体,瑞士士卓曼Straumann种植体,意大利西泰克C-Tech种植体,韩国仕诺康Snuc种植体,美国杰美Zimmer种植体,国产莱顿BLB种植体,国产威高WEGO种植体,以色列丹特因Dentin种植体,以色列柯特斯CORTEX种植体,穿颧种植,all-on-4种植牙,穿翼板种植牙技术,即刻种植牙,瑞士百丹特种植体,法国安卓健Anthogyr种植体,上颌窦提升术,韩国纽百特NeoBiotech种植体,all-on-6种植牙
医院:上海泰康拜博昌仁口腔医院
优惠
昆明柏德口腔11周年庆:德国种植牙种1送1,半全口种植牙优惠补贴60%
2025-10-20 17:53:30
西安团圆口腔美国3M-Z250树脂补牙原价350元,现168元起虫牙蛀牙快速搞定
2025-10-20 10:07:25
长春传阳口腔德国进口卡瓦种植牙原价5200元起现仅3480元起享3D导板技术
2025-10-18 14:36:03
乌鲁木齐天牙口腔树脂半口活动假牙原价3000元现1880元起,医用级树脂轻便耐用!
2025-10-17 14:40:28
乌鲁木齐天牙口腔超声波洁牙+喷砂套餐原价600元现288元起温和去渍赠口腔评估!
2025-10-16 10:17:35
长春传阳口腔全瓷牙冠原价6000元起,现只要999元起,经验团队技术可靠!
2025-10-15 10:11:08