
您的位置: 聚美网 > 资讯 > 成都补牙多少钱一颗牙价格表全解析,涵盖基础、复杂及特殊补牙价格,助您明智选择
发布时间:2025-10-21 15:19:03
阅读:
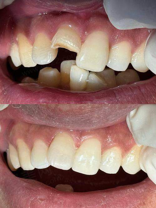
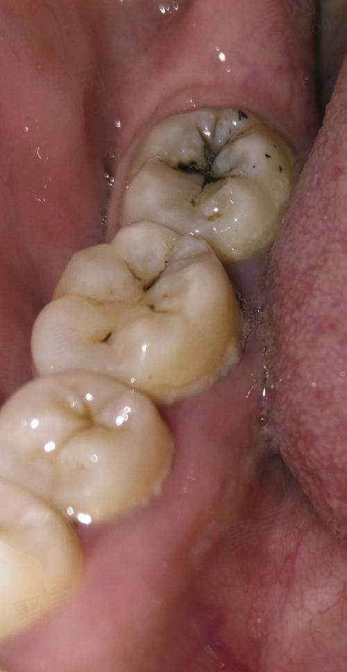
在成都,不少人都关心“成都补牙齿多少钱一颗”这个问题。补牙价格受多种因素影响,比如补牙材料、龋坏程度、机构类型等。基础补牙有普通树脂、高端树脂、玻璃材料等不同选择,价格从 200 元到 700 元左右不等;复杂补牙可能涉及嵌体、贴面、全冠等修复手段,价格从 800 元到 6000 元不等;特殊补牙技术如微创补牙、数字化补牙也各有特点和价格区间。此外,诊所及医生水平、地理位置、患者个体情况也会对补牙价格产生影响。接下来,我们就详细了解一下成都补牙的价格情况。
1. 普通树脂补牙
普通树脂补牙是比较常见的一种补牙方式,价格通常在 200 元至 500 元之间。这种补牙材料颜色接近自然牙,美观度还不错,适用于一般龋齿的修复。不过呢,它的耐磨性和色泽稳定性相对高端树脂来说要差一些。比如说,你牙齿上有个小龋洞,不太大也不太深,用普通树脂补牙就挺合适,性价比比较高。在一些普通的牙科诊所或者小医院,这个价格区间的普通树脂补牙还是特别常见的。
2. 高端树脂补牙
高端树脂补牙的材料就更好一些啦,像美国 3M Z250、Z350 及 P60 等。美国 3M Z250 价格大概在 300 元左右,Z350 价格在 450 元左右,P60 价格能到 700 元左右。这些材料的耐磨性更强,色泽也更加自然,就好像和你原来的牙齿没什么区别一样。对于那些对美观和耐用性有更高要求的患者来说,高端树脂补牙是个不错的选择。比如你是前牙有龋洞,补完牙后还得经常露出来笑,那用高端树脂补牙就能让牙齿看起来更美观,而且也更耐用。
3. 玻璃材料补牙
玻璃材料补牙价格大约在 200 元至 400 元,比较适合儿童或者乳牙修复。这种材料具有较好的防龋成效,能在一定程度上保护牙齿,防止龋齿进一步发展。小朋友的牙齿还在发育阶段,乳牙比较脆弱,用玻璃材料补牙既经济实惠,又能起到保护牙齿的作用。
1. 嵌体修复
嵌体修复是针对较大面积缺损的牙齿进行的定制修复。根据材料不同,价格从 800 元至 3000 元不等。嵌体可以更精细地修复牙齿形态,就像是为牙齿量身定制了一件“衣服”,能良好地修复牙齿的功能和外观。比如说,你的牙齿龋坏面积比较大,普通的补牙材料可能不太能牢固地固定,这时候嵌体修复就是个好办法。不过,嵌体修复的制作过程相对复杂一些,需要先取牙齿模型,然后在模型上制作嵌体,末尾再安装到牙齿上。
2. 牙齿贴面
牙齿贴面又分为国产贴面和进口贴面。国产贴面价格在 2000 元至 4000 元不等,进口贴面如瑞士 e - max、德国 VITA 等,价格则在 3500 元至 6000 元之间。牙齿贴面可以显著改善牙齿色泽和形态,尤其适合前牙的美学修复。如果你觉得自己的牙齿颜色不好看,或者牙齿表面有一些小瑕疵,牙齿贴面就能帮你解决这些问题。它就像是给牙齿贴上了一层美丽的“面膜”,让你的牙齿变得洁白又整齐。不过,牙齿贴面也有一定的使用寿命,一般在 5 到 10 年左右,具体时间还得看个人的使用和保养情况。
3. 全瓷冠
全瓷冠也分国产和进口的。国产全瓷冠价格在 1500 元至 3500 元,进口全瓷冠如德国威兰德、泽康等,价格则在 3000 元至 6000 元不等。全瓷冠具有极高的生物相容性和美观度,适用于重度缺损或变色牙齿的修复。它就像是给牙齿戴上了一个坚固又漂亮的“帽子”,不仅能保护牙齿,还能让牙齿看起来更加自然美观。全瓷冠的制作工艺比较复杂,需要医生有较高的技术水平,所以在选择医院和医生的时候要格外注意。
1. 微创补牙
微创补牙采用更小的钻头和更精细的操作技巧,能减少患者的不适感。它的价格通常比普通补牙高出 20%至 30%。比如说,普通补牙价格是 300 元,那微创补牙可能就要 360 元到 390 元左右。微创补牙的原理就是在尽量保留健康牙体组织的前提下,对龋坏部位进行修复。它就像是一个“温柔的工匠”,轻轻地修复你的牙齿,让你在补牙过程中少受点罪。
2. 数字化补牙
数字化补牙利用 CAD/CAM 技术,实现精细设计和快速制作修复体。价格相对较高,但效率和舒适度更高,一般在 1000 元至 4000 元不等,具体取决于修复体的复杂程度。数字化补牙就像是给牙齿做了一次“高新科技体检”,医生通过计算机软件设计出更适合你牙齿的修复体,然后快速制作出来。这样不仅节省了时间,还能让修复体更加精细地贴合你的牙齿。
1. 诊所及医生水平
出名的诊所和经验充足的医生通常会收取更高的费用。这是因为他们的技术更不错,服务质量和治疗结果也更有保护。比如说,一些大型的口腔专科医院,医生都是经过专精培训和多年临床实践的,他们在补牙过程中能更好地处理各种复杂情况,减少并发症的发生。虽然价格可能会贵一些,但从长远来看,还是值得的。所以,在选择补牙的诊所和医生时,要看看诊所是否具备《医疗机构执业许可证》,操作医生是否持有《医师资格证书》和《医师执业证书》。
2. 地理位置
成都市中 心或繁华地段的诊所价格普遍高于郊区或偏远地区。这是因为市中 心的租金、运营成本等都比较高,这些成本自然会分摊到患者身上。比如说,在春熙路附近的牙科诊所,补牙价格可能就会比郊区的诊所贵一些。所以,如果不是特别着急补牙,你可以考虑去郊区的正规诊所看看,说不定能省一笔钱呢。
3. 患者个体情况
牙齿缺损的程度、位置以及是否伴有其他口腔问题,都会影响补牙价格。如果你的牙齿龋坏程度比较深,已经接近牙髓了,那就可能需要精良行垫底材料保护或活髓保存治疗,费用就会增加 20% - 40%。要是龋坏已经引发了牙髓炎,那就得精良行根管治疗,再行冠修复,这样费用就更高了。另外,如果牙齿的位置比较特殊,比如是智齿,补牙难度可能会更大,价格也会相应提高。
在成都补牙齿,大家都想知道“成都补牙齿多少钱一颗”,然后根据自己的情况做出选择。如果你牙齿龋坏情况比较简单,对美观和耐用性要求不是特别高,那普通树脂补牙或者玻璃材料补牙就可以,价格相对便宜。要是你对牙齿美观度要求特别高,像前牙修复,高端树脂补牙、牙齿贴面或者全瓷冠可能更适合你,虽然价格贵一些,但成效会更好。对于复杂的牙齿缺损,嵌体修复是个不错的选择。在选择补牙机构时,不要只看价格,还要考虑诊所的资质和医生的水平。低价项目可能使用劣质树脂或省略必要处理步骤,可能导致修复体脱落、继发龋或牙髓损伤。所以,一定要选择正规、专精的牙科诊所,这样才能确保补牙的成效和自己的口腔健康。
总之,成都补牙的价格有多种区间,大家可以根据自己的实际情况和需求,结合医生的专精建议,做出明智的选择。希望大家都能拥有健康美丽的牙齿,自信地展现笑容。
李静 院长
诊疗项目:种植牙,单颗种植,多颗种植,半口种植,全口种植,韩国登腾Dentium种植体,韩国奥齿泰Osstem种植体,瑞典诺贝尔Nobel种植体,瑞士ITI种植体,韩国安美齿IBS种植体,美国3I种植体,德国ICX种植体,美国皓圣Hiossen种植体,韩国DIO种植体,华西cdic种植体,美国百康Bicon种植体,德国xive种植体,德国Camlog种植体,瑞典astra种植体,韩国登特斯Dentis种植体,韩国美格真MegaGen种植体,德国贝格Bego种植体,德国费亚丹Ankylos种植体,瑞士士卓曼Straumann种植体,意大利西泰克C-Tech种植体,韩国仕诺康Snuc种植体,美国杰美Zimmer种植体,国产莱顿BLB种植体,国产威高WEGO种植体,以色列丹特因Dentin种植体,以色列柯特斯CORTEX种植体,穿颧种植,all-on-4种植牙,穿翼板种植牙技术,即刻种植牙,瑞士百丹特种植体,法国安卓健Anthogyr种植体,上颌窦提升术,韩国纽百特NeoBiotech种植体,all-on-6种植牙
医院:上海泰康拜博昌仁口腔医院
姚桂军 院长
诊疗项目:种植牙,牙齿美白,补牙,牙周治疗,牙齿修复
医院:娄底佳丽口腔医院
江亲远 院长
诊疗项目:种植牙,单颗种植,多颗种植,半口种植,全口种植,韩国登腾Dentium种植体,韩国奥齿泰Osstem种植体,瑞典诺贝尔Nobel种植体,瑞士ITI种植体,韩国安美齿IBS种植体,美国3I种植体,德国ICX种植体,美国皓圣Hiossen种植体,韩国DIO种植体,华西cdic种植体,美国百康Bicon种植体,德国xive种植体,德国Camlog种植体,瑞典astra种植体,韩国登特斯Dentis种植体,韩国美格真MegaGen种植体,德国贝格Bego种植体,德国费亚丹Ankylos种植体,瑞士士卓曼Straumann种植体,意大利西泰克C-Tech种植体,韩国仕诺康Snuc种植体,美国杰美Zimmer种植体,国产莱顿BLB种植体,国产威高WEGO种植体,以色列丹特因Dentin种植体,以色列柯特斯CORTEX种植体,穿颧种植,all-on-4种植牙,穿翼板种植牙技术,即刻种植牙,瑞士百丹特种植体,法国安卓健Anthogyr种植体,上颌窦提升术,韩国纽百特NeoBiotech种植体,all-on-6种植牙
医院:上海泰康拜博昌仁口腔医院
优惠
昆明柏德口腔11周年庆:德国种植牙种1送1,半全口种植牙优惠补贴60%
2025-10-20 17:53:30
西安团圆口腔美国3M-Z250树脂补牙原价350元,现168元起虫牙蛀牙快速搞定
2025-10-20 10:07:25
长春传阳口腔德国进口卡瓦种植牙原价5200元起现仅3480元起享3D导板技术
2025-10-18 14:36:03
乌鲁木齐天牙口腔树脂半口活动假牙原价3000元现1880元起,医用级树脂轻便耐用!
2025-10-17 14:40:28
乌鲁木齐天牙口腔超声波洁牙+喷砂套餐原价600元现288元起温和去渍赠口腔评估!
2025-10-16 10:17:35
长春传阳口腔全瓷牙冠原价6000元起,现只要999元起,经验团队技术可靠!
2025-10-15 10:11:08
口腔资讯